NeO-Capと N-Bimler
この二つの装置のみで歯科矯正を完了する事を目的とする
日本で発案されたシステム化した 矯正治療であり
NeO-Cap.System®矯正臨床勉強会は
このシステムを勉強する会となります。
NeO-Cap.System®とは?
医療法人 はた歯科 秦 敏久先生
NeO-Capシステム®とは
医療法人社団輝真会 くらた歯科医院
倉田 昌典 先生
小児矯正 ネオキャップ・ビムラー矯正
NeO-Cap.System®説明DVD
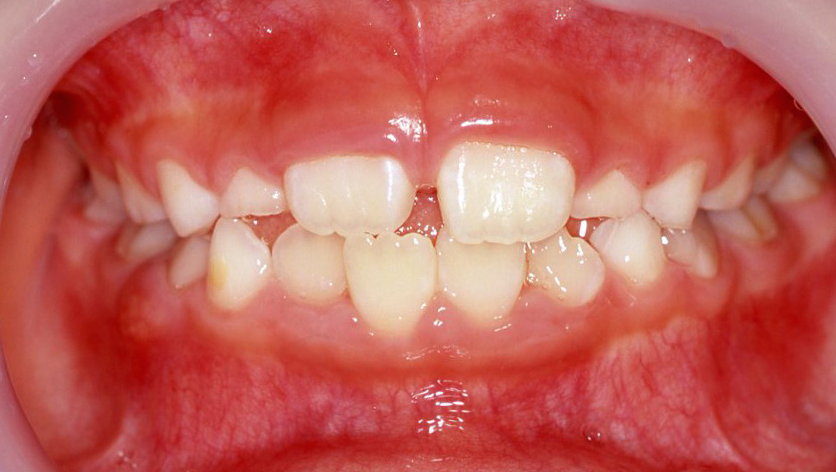
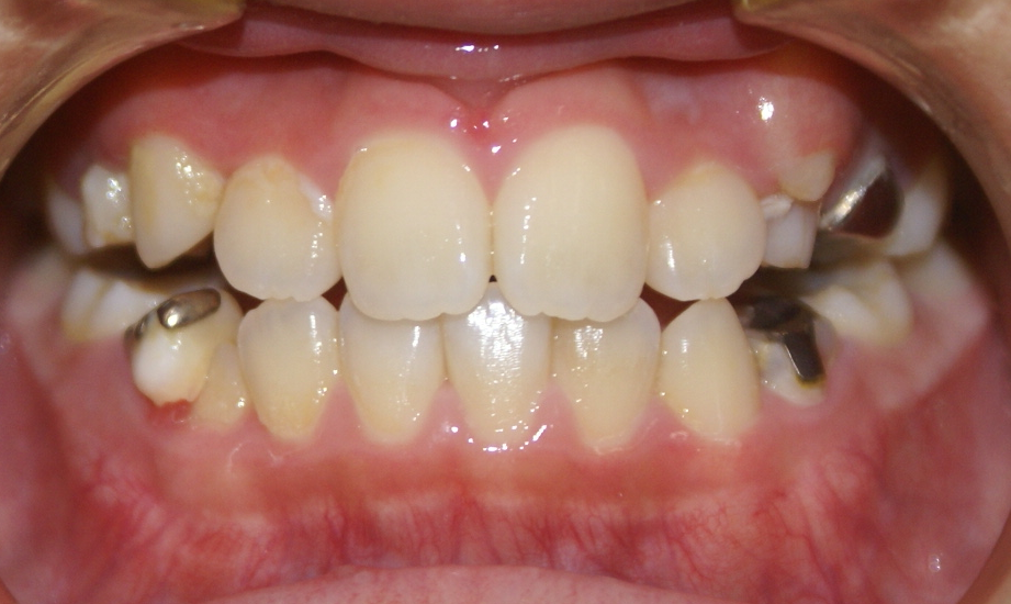
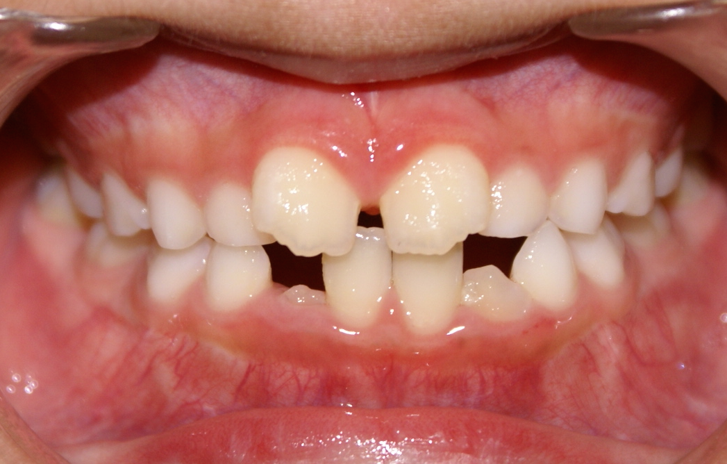
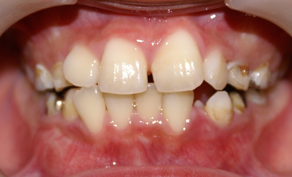
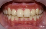
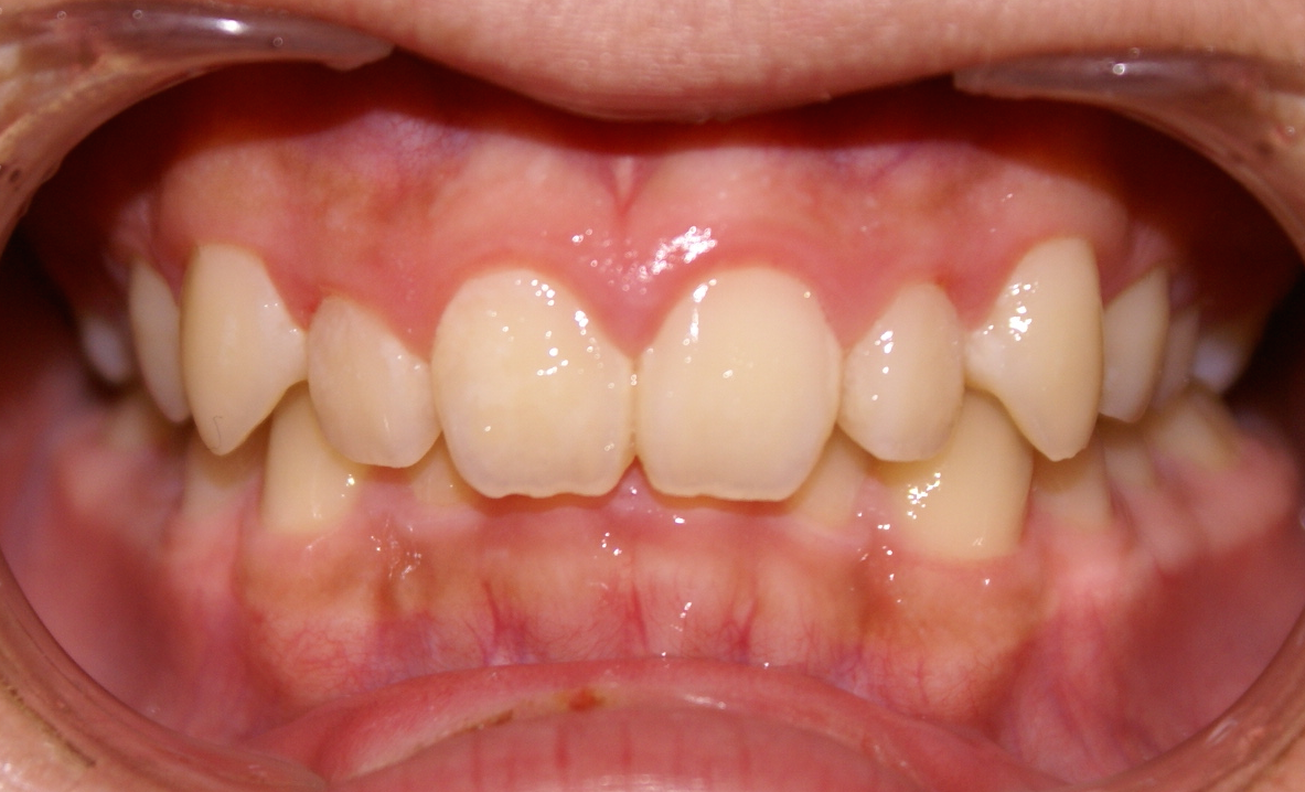
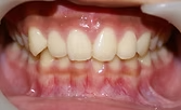
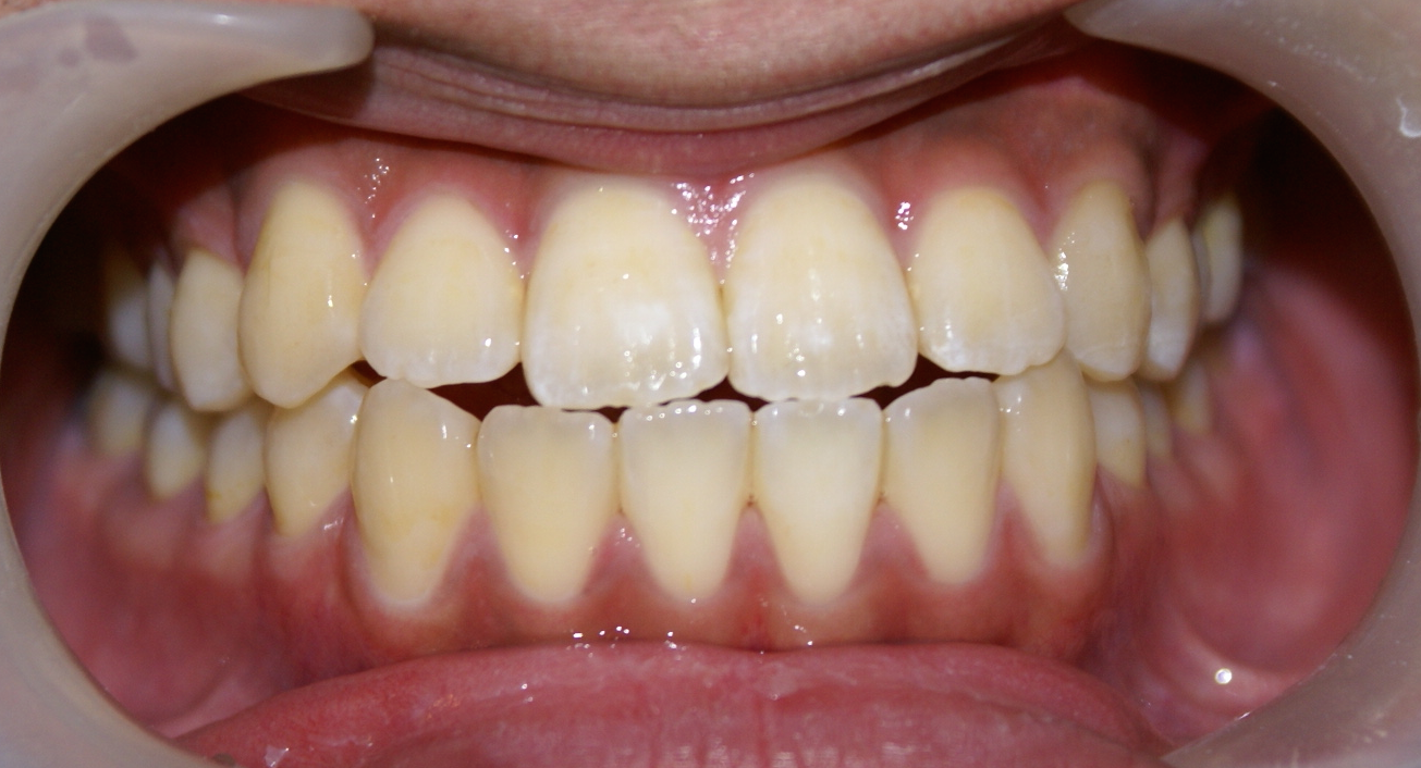
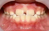
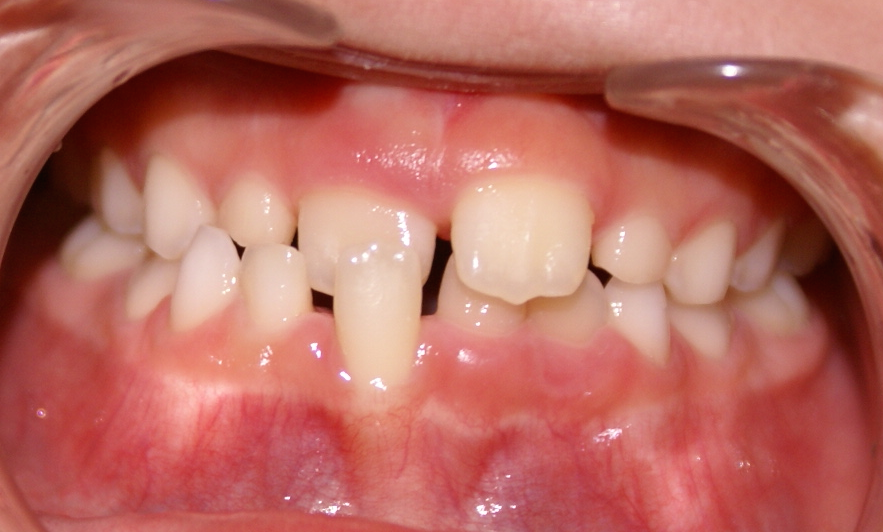
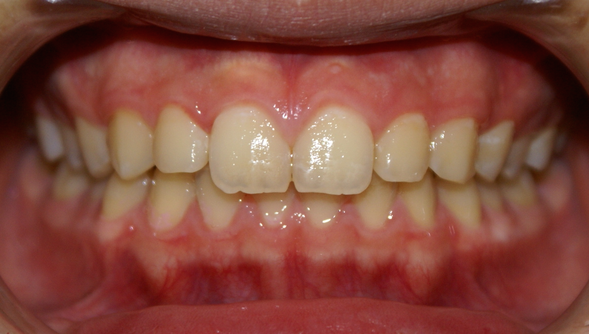
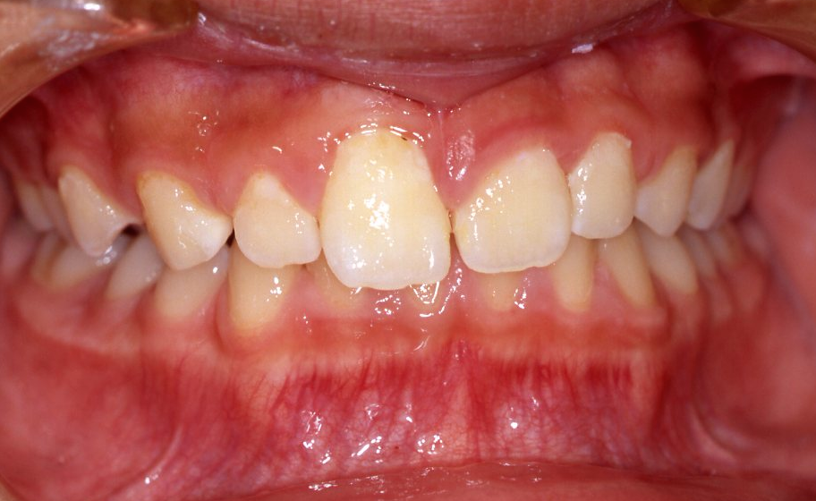
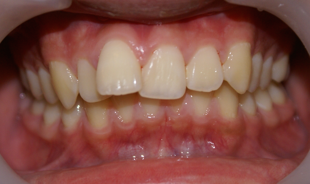
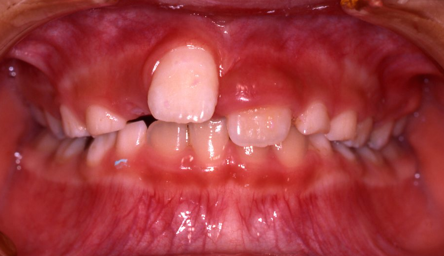
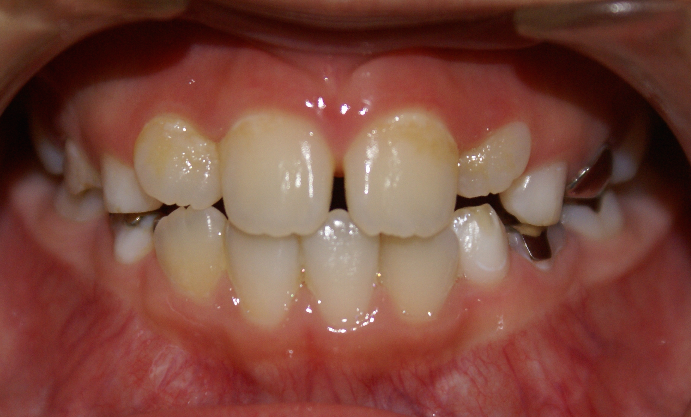
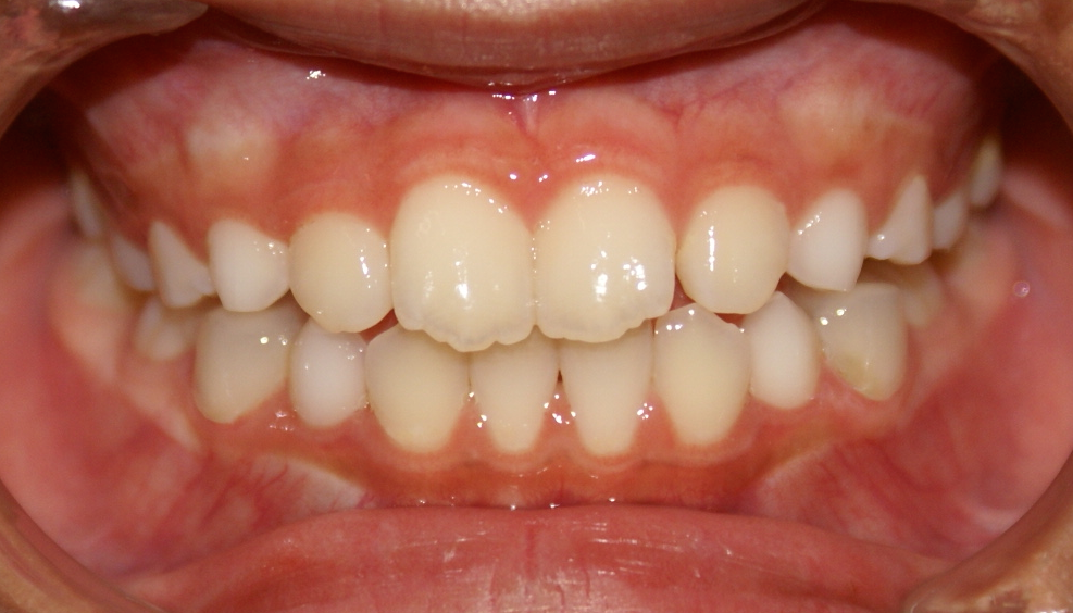
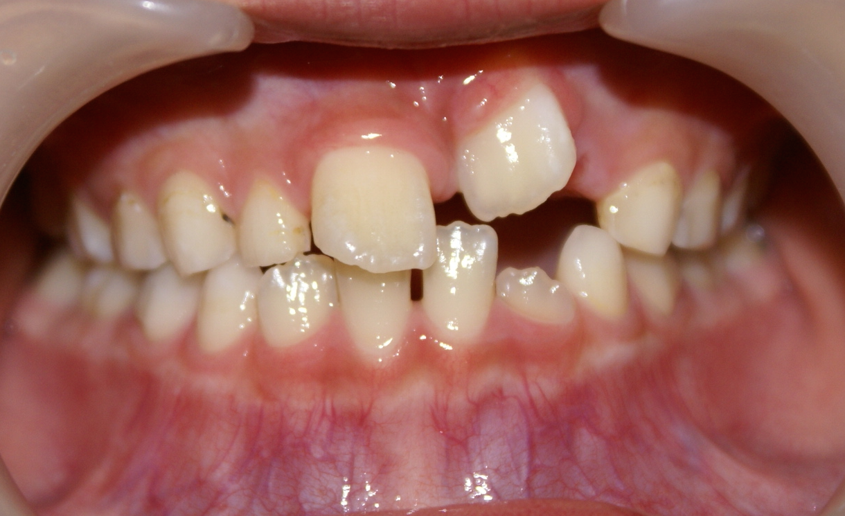
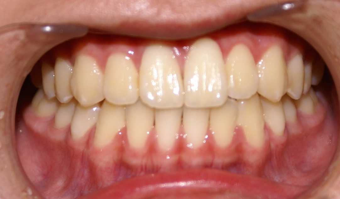
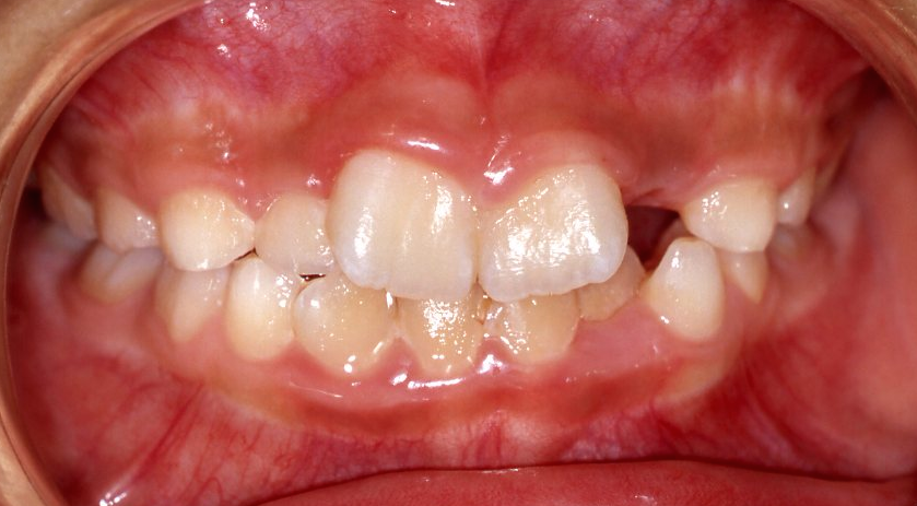
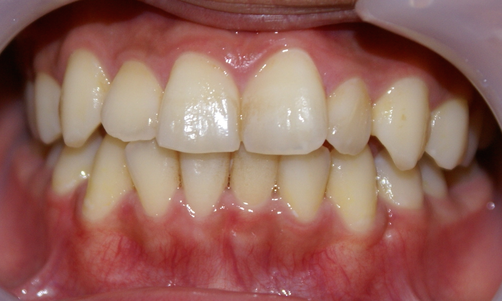
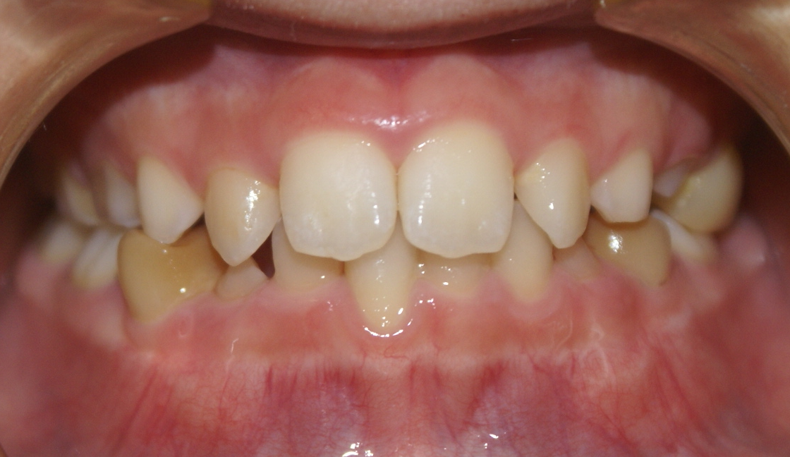
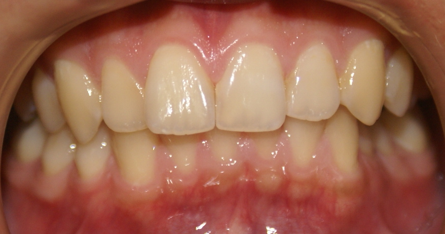
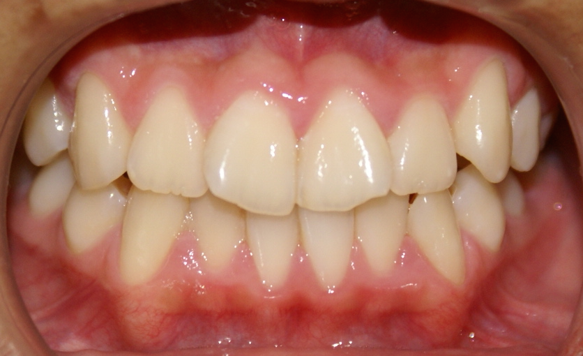
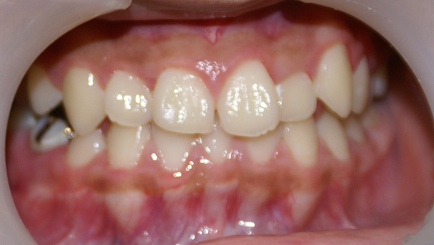
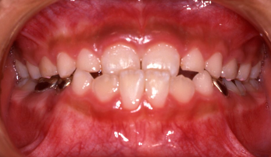
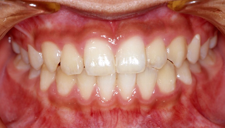
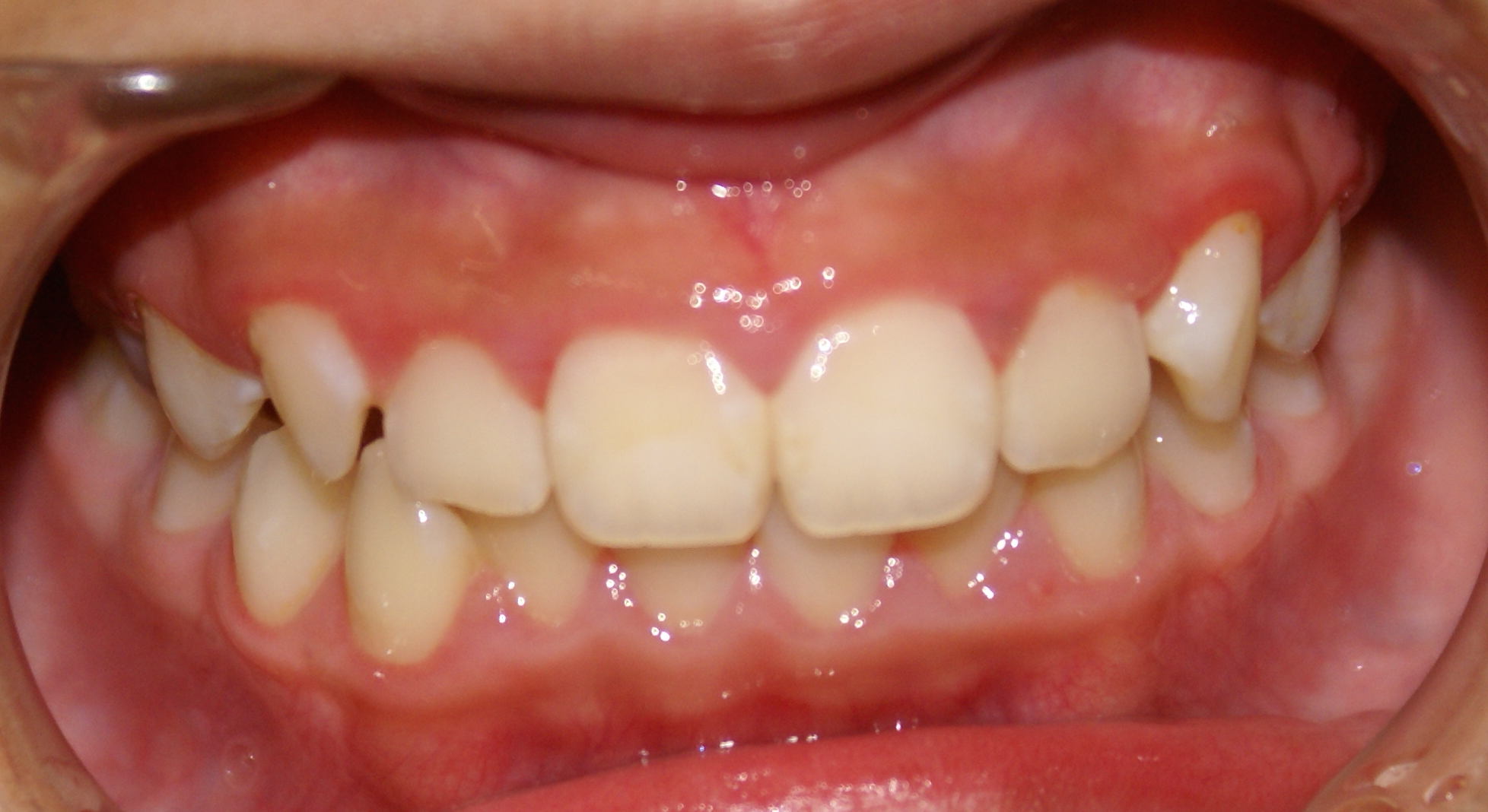
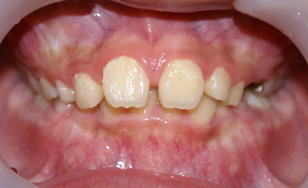
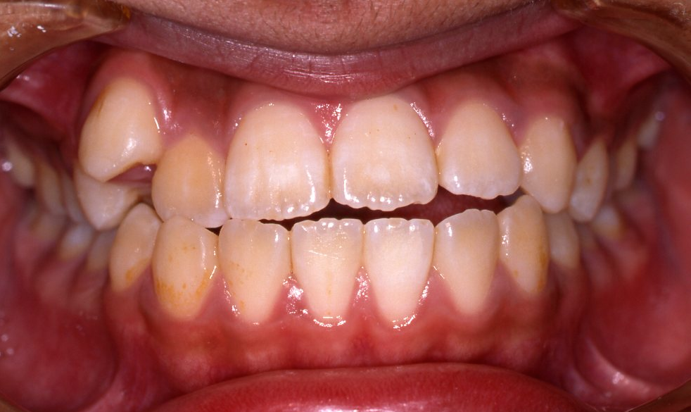
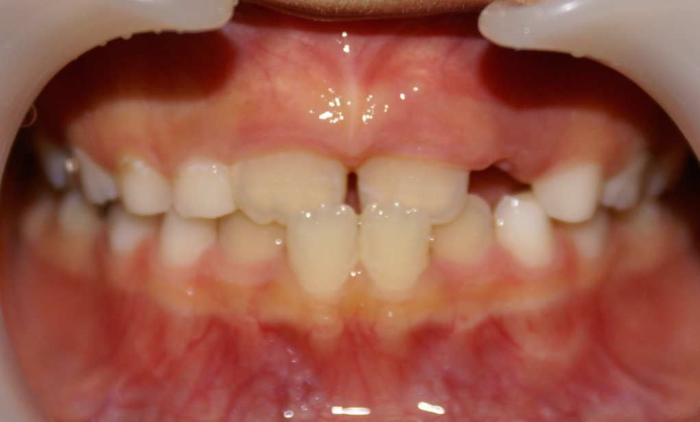
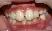
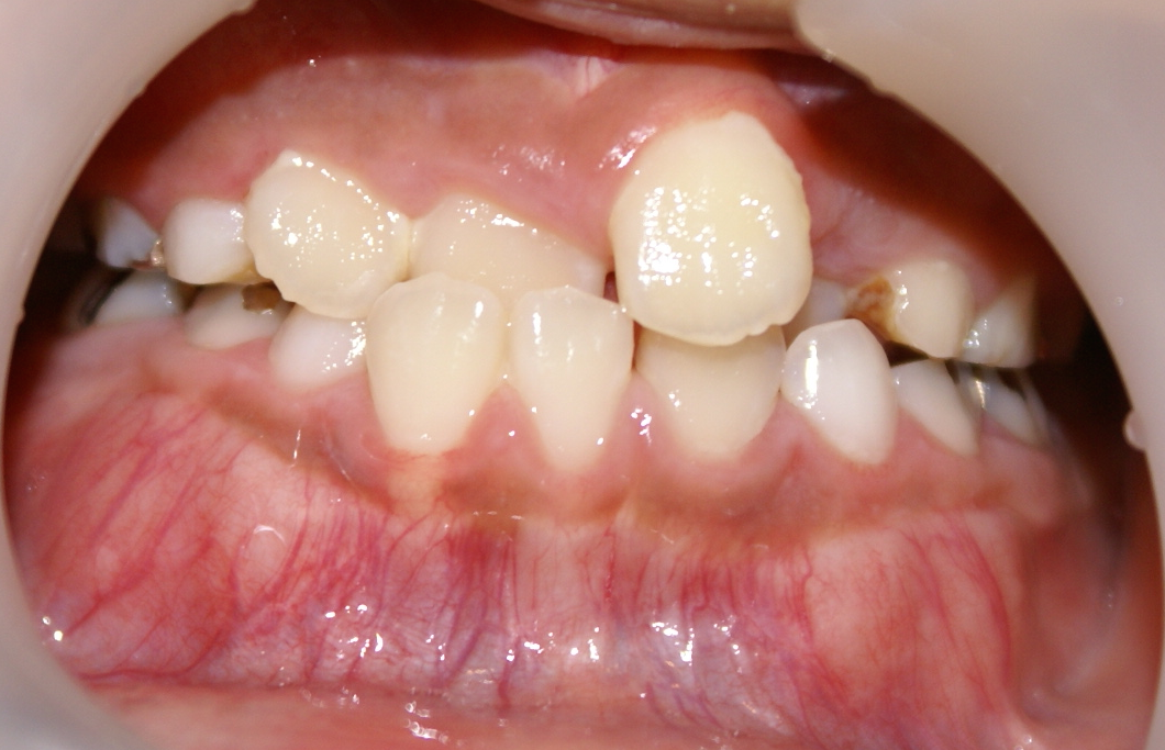
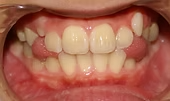
NeO-Cap.Systemの症例
→
→
→
→
→
→
→
→
→
→
→
→
→
→
→
→
→
→
bimler装置の注意事項
- 当勉強会に参加され NeO-Cap.Systemを導入されている先生方で 当方にて技工物を作成 すなわち 本物のNeO-Cap.Sytem には
2018年12月以降作成の すべてのN-Bimlerには 新たにマークが入っております。
尚:NeO-Capを当方で作成ない場合 入れておりません。
そのようなN-Bimlerをみられた方は 一報いただけましたなら と思います





